00:00:00

Maraqlı

Bu kateqoriyada cəmi 2517 xəbər tapıldı.

Dəri xəstəlikləri necə yaranır? Müalicə üsulları nələrdir?

Şəkərə yox, bal və ağcaqayın şərbətinə bəli !

Avas su kəməri, "Memar Sinanın Əsənlər üzərindəki möhürü" mədəniyyət hövzəsinə çevrilir

İnsanların Sirli Dünyası...

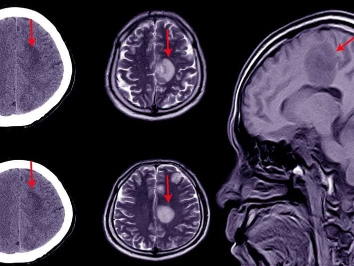
Alimləri təəccübləndirən hadisə: Beyninin 90 faizi olmayan insan!