Əlaqə
Haqqımızda
00:00:00
İnformator.az
Kateqoriyalar
Siyasət
Sosial
İqtisadiyyat
Mədəniyyət
Hadisə
İdman
Araşdırma
Media
Dünya
Maraqlı
Şərhsiz
Media-Yubiley
Texnologiya
Kriminal
Köşə
Siyasət
Sosial
İqtisadiyyat
Mədəniyyət
Hadisə
Giriş
Qeydiyyat
Araşdırma
Bu kateqoriyada cəmi 508 xəbər tapıldı.
Tarixdə bu gün-Şeyx Mənsurun anım günü
Üzeyir Hacıbəyov - Hürriyyəti-mətbuat (Azad mətbuat)
ARTİCLE
Dünyada vətəndaşlıq alan ilk robot- Sofiya
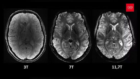
İnsan beyninin ən aydın görüntüsü yayımlanıb
İlk
<
…
15
16
17
18
19
…
>
Son