00:00:00

Dünya

Bu kateqoriyada cəmi 18930 xəbər tapıldı.

Həştərxanda azərbaycanlıdan müsadirə edilən pul...

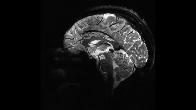
Süni intellekt epilepsiyalı uşaqlarda gizli beyin zədələrini aşkarlayır

Almaniyada partlayış! Ölən və yaralananların olduğu bildirilir

İş adamı: "İrandan gətirilən məhsullar orqanik adı altında təqdim olunur"

Putinlə görüşən kimi Nikol Bakıya qarşı “başlayıb"